Natural Look Denture Clinic

Geoff Lambert - Dental Prosthetist
39-41 Grimshaw Street, Greensborough, Vic, 3088, Australia
Phone - 03 9717 6551

 

 

 

Home

Products & Services

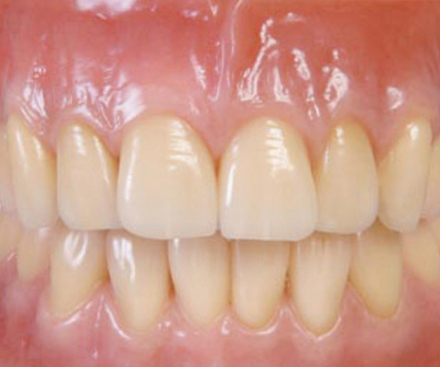
Premium Dentures

Implant Dentures

Sports Mouthguards

Quick Facts

Funding

Photos

Links

News

Location/Map

 
 

 

 

 

SERVICES

 

FULL DENTURES

CLICK HERE FOR MORE INFORMATION

 

 

PARTIAL DENTURES

CLICK HERE FOR MORE INFORMATION

 

PREMIUM DENTURES

CLICK HERE FOR MORE INFORMATION

 

IMPLANT DENTURES

 

CLICK HERE FOR MORE INFORMATION

 

DENTURE SERVICES

 

Including relines, repairs, identification, soft liners, etc...
CLICK HERE FOR MORE INFORMATION

 

MOUTHGUARDS

CLICK HERE FOR MORE INFORMATION

 

Natural Look Denture Clinic

Geoff Lambert - Dental Prosthetist
39-41 Grimshaw Street, Greensborough, Vic, 3088, Australia
Phone - 03 9717 6551